He visto las instrucciones completas, pero falta la «lista de palabras clave» que menciona. ¿Quiere que espere a que me la proporcione para integrarlas todas de forma natural en el texto, o prefieres que proceda ahora mismo sin esa lista y redacte el artículo usando términos relevantes y actuales sobre la función del apéndice?

Blinddarmentzündung 00:21, 11 septiembre 2025

Blinddarmentzündung Ética en Medicina: Consentimiento para una Apendicectomía de Urgencia en un Menor
0 0 53 мин.

Blinddarmentzündung Informe de Patología: Cómo entender los hallazgos tras la extracción del apéndice
0 0 51 мин.

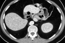
Blinddarmentzündung Radiology Corner: Cómo identificar la apendicitis en una tomografía computarizada
0 0 56 мин.
Комментариев нет, будьте первым кто его оставит