Es probable que el término L’hyperplasie lymphoïde de la paroi suene extraño y distante, como si perteneciera a un libro de patología fría y denso. Sin embargo, detrás de esa fórmula francesa hay un fenómeno biológico con implicaciones clínicas, emocionales y científicas que merece ser comprendido con calma y claridad. En este artículo voy a acompañarte paso a paso: desde la primera imagen que uno puede formar en la mente al escuchar la expresión «hiperplasia linfóide» hasta las pruebas diagnósticas que utilizan los médicos y las opciones de manejo que existen hoy. Quiero que lo leas como si estuviéramos conversando en una consulta tranquila, desmontando términos, desmenuzando mecanismos y atendiendo tanto la ciencia como la experiencia humana.
Voy a explicarlo con palabras sencillas pero rigurosas, aportando comparaciones, ejemplos y una estructura que te permita volver a consultar cualquier sección cuando lo necesites. También incluiré tablas para organizar la información clave y listas para que los pasos, las señales y las opciones queden claros. Si te interesa la medicina, si tienes un familiar que ha recibido este diagnóstico o si simplemente te atrae comprender mejor cómo responde el cuerpo ante estímulos y agresiones, este artículo está pensado para ti.
Antes de comenzar, es importante subrayar algo elemental: la información aquí presentada busca explicar y orientar, pero no sustituye la consulta médica directa. Si tú o alguien cercano ha sido diagnosticado, las decisiones clínicas deben tomarse con el profesional tratante, que tendrá en cuenta el cuadro completo, antecedentes y pruebas específicas.
¿Qué significa exactamente «L’hyperplasie lymphoïde de la paroi»?
Traducido literalmente, L’hyperplasie lymphoïde de la paroi significa «hiperplasia linfóide de la pared». La palabra hiperplasia indica un aumento en el número de células; linfóide remite a linfocitos, que son las células del sistema inmunitario; y «de la paroi» —o «de la pared»— alude a la ubicación, es decir, la pared de una estructura orgánica, que puede ser intestinal, bronquial, vesical u otra dependiendo del contexto clínico. En conjunto, el término describe un incremento de tejido linfático en la pared de un órgano o conducto.
Es fundamental entender que la hiperplasia linfocítica no es necesariamente una enfermedad maligna. En muchos casos se trata de una respuesta reactiva: el sistema inmunitario concentra linfocitos en un punto concreto como reacción a infecciones, inflamación crónica o estímulos antigénicos repetidos. Por eso, la hiperplasia puede ser transitoria y, si desaparece la causa, el tejido volverá a la normalidad. También es cierto que, en situaciones específicas, la proliferación linfática debe diferenciarse de procesos neoplásicos (como linfomas), y ahí entran el examen histológico y otras pruebas complementarias.
El lugar donde se produce esta hiperplasia condiciona síntomas, diagnóstico y manejo. Por ejemplo, la hiperplasia linfática de la pared intestinal puede asociarse con dolor abdominal, cambios en el tránsito intestinal o sangrados; en la pared bronquial podría producir tos o obstrucción local. Entender qué pared está afectada ayuda a acotar causas y estrategias terapéuticas.
¿Dónde se detecta con más frecuencia?
La distribución anatómica de la hiperplasia linfóide de la pared depende de varias cosas: edad del paciente, exposiciones ambientales, infecciones previas y condiciones subyacentes del sistema inmune. Algunos sitios más reportados en la literatura clínica son la pared intestinal (especialmente en pediatría), la mucosa bronquial y, en menor medida, la pared de estructuras urogenitales o del tracto aerodigestivo superior.
En niños, por ejemplo, la hiperplasia nodular linfática intestinal es conocida y en muchos casos se relaciona con infecciones o con respuestas inmunitarias en desarrollo. En adultos puede surgir en contextos de gastritis crónica, infecciones por Helicobacter pylori, o enfermedades autoinmunes. Por eso, no hay un único patrón; cada ubicación aporta matices clínicos que conviene reconocer.
Fisiopatología: qué ocurre en el tejido y por qué
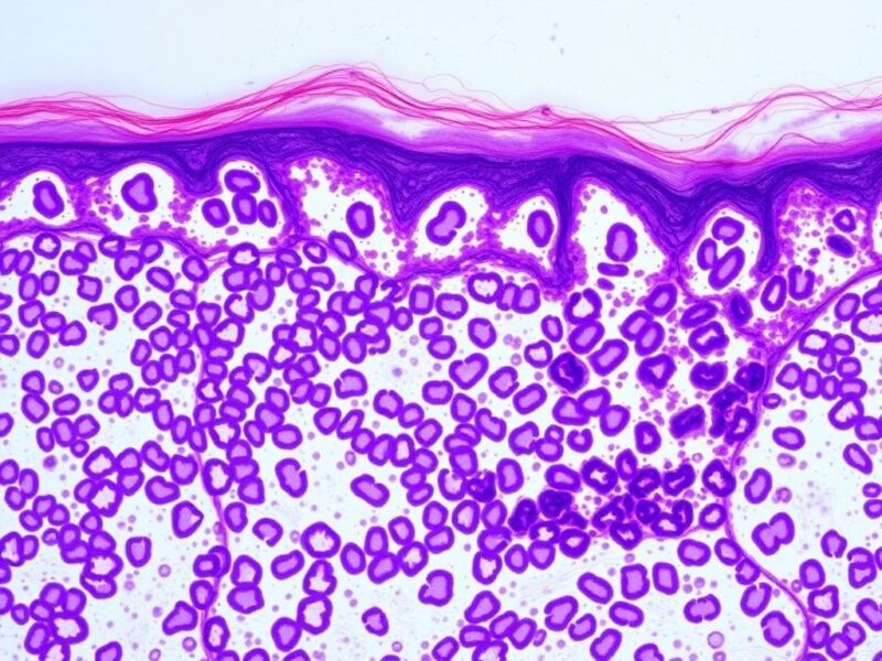
Para apreciar lo que pasa durante una hiperplasia linfóide, imagina el tejido como una ciudad y los linfocitos como ciudadanos defensores. Cuando un enemigo (un antígeno, bacteria, virus o sustancia extraña) se acerca, el sistema inmunitario convoca a más defensores y organiza campamentos locales —los folículos linfáticos— con el objetivo de coordinar la respuesta. Esa acumulación, que a la larga puede ser visible en estudios de imagen o al examinar tejido con un microscopio, es la hiperplasia linfóide.
Biológicamente, el proceso involucra señales de citocinas, migración de linfocitos desde la sangre y proliferación local impulsada por la estimulación antigénica. En términos simples, las células B forman folículos germinales para madurar y producir anticuerpos, mientras que las células T se organizan para ayudar o regular la respuesta. En la pared de un órgano, esta arquitectura puede alterar la estructura normal y causar síntomas por masa o por inflamación local.
Otro punto importante es la cronología: una hiperplasia reactiva suele tener un patrón polimorfo, con mezcla de tipos celulares y arquitectura preservada; un proceso maligno tiende a mostrar monoclonalidad y pérdida de la arquitectura. Esa distinción es clave en el laboratorio, y explica por qué los médicos recurren a técnicas como inmunohistoquímica o estudio de clonality para confirmar el diagnóstico.
Factores que desencadenan la hiperplasia
Los desencadenantes pueden agruparse en infecciosos, inflamatorios, inmunitarios y ambientales. Entre los más habituales están infecciones bacterianas (por ejemplo, Helicobacter pylori en la mucosa gástrica), infecciones virales, exposición crónica a antígenos respiratorios o alimentarios, y enfermedades autoinmunes que mantienen al sistema inmune en estado de activación. En niños, la maduración del sistema inmune y episodios repetidos de infecciones pueden explicar la aparición de hiperplasia nodular intestinal.
También es importante considerar medicamentos y terapias que modulan el sistema inmune: algunos fármacos biológicos o inmunomoduladores pueden, en casos raros, predisponer a alteraciones en los tejidos linfáticos. Por eso se evalúa siempre la historia clínica en detalle.
Presentación clínica: cómo puede manifestarse
La presentación varía según la localización. En la pared intestinal, los síntomas comunes incluyen dolor abdominal inespecífico, diarrea, cambios en el apetito o sangrado oculto. En la pared bronquial, la hiperplasia puede dar tos crónica, sibilancias o sensación de obstrucción. En la mucosa gástrica, puede manifestarse con molestias epigástricas, acidez o, en algunos casos, anemia por microhemorragias.
Es frecuente que la hiperplasia sea asintomática y se descubra de forma incidental en estudios realizados por otros motivos, como una endoscopia o una tomografía computarizada. En esas situaciones, el hallazgo plantea interrogantes: ¿es reactivo o neoplásico? ¿requiere tratamiento o solo vigilancia? La respuesta dependerá de la combinación de imagen, biopsia y contexto clínico.
Además de los síntomas locales, a veces aparecen signos sistémicos si la condición subyacente es más amplia: fiebre, pérdida de peso, sudoración nocturna o linfadenopatías generalizadas pueden orientar a procesos más complejos que demandan una evaluación más profunda.
Signos de alarma
Hay signos que obligan a una valoración urgente: sangrado abundante, obstrucción intestinal o respiratoria, pérdida de peso rápida y fiebre persistente. Si la hiperplasia acompaña a síntomas sistémicos o se acompaña de alteraciones analíticas (anemia, elevación de marcadores inflamatorios), el equipo médico debe priorizar estudios diagnósticos para descartar causas graves.
Recuerda que el tiempo y la evolución importan: una lesión estable y asintomática puede seguirse, mientras que una lesión que progresa o acompaña síntomas generales requiere intervenciones más activas.
Diagnóstico: del examen clínico a la microscopia
El diagnóstico es multimodal. Comienza con una buena historia clínica y examen físico, prosigue con pruebas de imagen y concluye con estudio histológico en muchas ocasiones. Cada paso aporta piezas del rompecabezas.
En la evaluación inicial suelen solicitarse pruebas de laboratorio básicas (hemograma, marcadores inflamatorios) y estudios de imagen según la localización sospechada: ecografía, tomografía computarizada (TC) o resonancia magnética (RM) para la pared intestinal o tejidos blandos; radiografía y tomografía para vías respiratorias. La endoscopia (gastrointestinal o bronquial) permite visualizar la mucosa y tomar biopsias dirigidas, que son fundamentales para confirmar la hiperplasia y caracterizarla.
Una vez obtenida la muestra, el trabajo del patólogo es clave. Con tinciones convencionales y técnicas especiales (inmunohistoquímica, estudio de clonality por PCR), se determina si la proliferación es policlonal (reactiva) o monoclonal (sugestiva de linfoma). Esa distinción guía la conducta clínica.
Tabla: pruebas diagnósticas según localización
| Localización | Pruebas iniciales | Pruebas definitivas |
|---|---|---|
| Pared intestinal | Ecografía abdominal, TC/RM, endoscopia con biopsia | Histología con inmunohistoquímica, PCR de clonality, cultivos si se sospecha infección |
| Pared bronquial | Radiografía de tórax, TC torácica, broncoscopia | Biopsia bronquial, estudio citológico, marcadores inmunológicos |
| Pared gástrica | Endoscopia digestiva alta, ureasa/serología para H. pylori | Biopsia gástrica, pruebas de H. pylori, inmunohistoquímica |
| Otras localizaciones | Imagen localizada (RM, TC), biopsia dirigida | Estudio histológico y molecular según sospecha |
Diferenciar hiperplasia reactiva de procesos malignos
Este es un capítulo esencial y, a menudo, la razón principal por la que se realizan biopsias y estudios avanzados. Desde el punto de vista histológico, una hiperplasia reactiva suele mostrar una mezcla de linfocitos T y B, con folículos bien formados y una arquitectura preservada. En contraste, un linfoma o un proceso neoplásico puede mostrar uniformidad celular, invasión tisular y signos de monoclonalidad en estudios moleculares.
Sin embargo, no siempre la diferencia es evidente a simple vista. Por eso se combinan técnicas: inmunohistoquímica para identificar subtipos celulares, estudios de cadenas ligeras para demostrar policlonalidad versus monoclonalidad, y pruebas moleculares para detectar reordenamientos genéticos típicos de linfomas. Es una valoración integral que requiere experiencia y, a veces, la revisión por equipos multidisciplinares.
La correlación clínica-imagen-patología es crucial: una biopsia tomada en un contexto de infección aguda puede mostrar cambios reactivos que, fuera de ese contexto, podrían interpretarse mal. Por eso la comunicación entre clínicos y patólogos es vital.
Lista: pruebas clave para diferenciar reactivo de neoplásico
- Inmunohistoquímica para marcadores B (CD20) y T (CD3).
- Estudio de cadenas ligeras (kappa/lambda) para evaluar clonality.
- PCR para reordenamientos de inmunoglobulinas o TCR.
- Evaluación de la arquitectura histológica y presencia de folículos germinales.
- Correlación con imagen y curso clínico (estabilidad vs. progresión).
Manejo y tratamiento: ¿qué opciones existen?
El abordaje depende de la causa y de la severidad. Si la hiperplasia es reactiva y secundaria a una infección tratable, como Helicobacter pylori en el estómago, el tratamiento de la infección suele conducir a la regresión del tejido linfático. En ese escenario, el manejo es dirigido a la causa y a la vigilancia posterior con endoscopia o imagen según corresponda.
Si los síntomas son leves o ausentes y la lesión es estable, la conducta puede ser expectante: vigilancia clínica y controles periódicos. En casos de síntomas obstructivos (p. ej., compromiso bronquial que limite el flujo de aire o pólipos intestinales que obstruyan) puede ser necesaria una intervención endoscópica o incluso quirúrgica.
Si la evaluación histológica sugiere malignidad, el tratamiento cambia completamente: se requiere estadiaje, tratamiento oncológico (que puede incluir quimioterapia, radioterapia o terapias dirigidas) y seguimiento multidisciplinario. Por eso la fase diagnóstica es tan determinante para el pronóstico y la estrategia terapéutica.
Opciones terapéuticas según escenario
- Hiperplasia reactiva por infección: tratamiento antimicrobiano específico y seguimiento.
- Hiperplasia asociada a inflamación crónica: control de la enfermedad subyacente y medidas antiinflamatorias.
- Síntomas obstructivos o masa sintomática: resección endoscópica o quirúrgica según localización.
- Sospecha de linfoma: estadiaje y tratamiento oncológico según protocolo.
Pronóstico y seguimiento

En términos generales, la hiperplasia linfóide reactiva tiene un buen pronóstico si se identifica y trata la causa subyacente. La regresión puede ocurrir tras la erradicación de la infección o el control de la inflamación. No obstante, la vigilancia es prudente porque cualquier tejido con actividad inmunitaria sostenida merece revisión: la transformación maligna es rara, pero la vigilancia permite detectar cambios tempranos.
El seguimiento suele incluir controles clínicos periódicos, estudios de imagen y, en ocasiones, biopsias de control. La duración y frecuencia de la vigilancia dependen del sitio afectado, la respuesta al tratamiento y la sospecha inicial de malignidad. En el caso de hiperplasia relacionada con condiciones crónicas, el seguimiento puede ser a largo plazo.
Además del pronóstico médico, es importante considerar el impacto en la calidad de vida: síntomas como dolor crónico o problemas digestivos recurrentes afectan el día a día y requieren un manejo integral que incluya apoyo nutricional, control del dolor y atención psicológica si fuera necesario.
Investigación y avances: hacia una comprensión más fina

La investigación actual busca dos objetivos principales: entender mejor los mecanismos que llevan a la hiperplasia para prevenirla o tratarla de forma más selectiva, y mejorar las herramientas diagnósticas para distinguir con mayor rapidez y precisión entre procesos reactivos y neoplásicos. En la era de la medicina molecular, se exploran firmas genéticas, perfiles de expresión y marcadores inmunológicos que puedan predecir el curso de la lesión.
Otro campo prometedor es la terapia dirigida: si se identifican vías específicas que sostienen la proliferación linfática, podrían desarrollarse fármacos que modulen esa señal sin afectar al resto del sistema inmunitario. Asimismo, los avances en endoscopia y en imágenes permiten intervenciones menos invasivas y diagnósticos más precisos.
La investigación también está atenta a la epidemiología: entender quiénes desarrollan hiperplasia linfóide de la pared y por qué puede orientar políticas de prevención y cribado, sobre todo en poblaciones pediátricas o en áreas con prevalencia de infecciones específicas.
Tabla: áreas de investigación actuales
| Área | Objetivo | Impacto potencial |
|---|---|---|
| Biomarcadores moleculares | Diferenciar lesiones reactivas de neoplásicas | Diagnóstico más rápido y preciso |
| Terapias dirigidas | Intervenir vías específicas de proliferación | Tratamientos menos tóxicos y más eficaces |
| Técnicas de imagen avanzada | Visualizar cambios microestructurales | Detección precoz y seguimiento no invasivo |
| Estudios epidemiológicos | Identificar factores de riesgo | Prevención dirigida |
La perspectiva del paciente: comunicación y acompañamiento
Recibir la noticia de una lesión linfóide en la pared de un órgano puede generar confusión y ansiedad. A menudo, los términos médicos y la incertidumbre entre «reactivo» o «maligno» incrementan el estrés. Por eso, la comunicación clara y empática del equipo de salud es imprescindible. Explicar el proceso diagnóstico, el plan de seguimiento y las señales de alarma ayuda a reducir la incertidumbre.
El acompañamiento también implica información práctica: qué pruebas están por venir, cuánto tardarán los resultados, qué síntomas vigilar y cómo organizar las visitas. En muchos casos, el apoyo psicológico o el acceso a grupos de pacientes son recursos valiosos para afrontar la experiencia.
Asimismo, involucrar al paciente en decisiones compartidas —cuando hay opciones terapéuticas— genera mayor satisfacción y adherencia al tratamiento. La educación sobre hábitos que favorezcan la salud inmune (nutrición adecuada, control del tabaquismo, vacunaciones pertinentes) es un complemento útil aunque no siempre preventivo de este proceso.
Resumen práctico: preguntas frecuentes
A continuación respondo de forma directa a preguntas que suelen surgir.
- ¿Es cáncer? No necesariamente. Muchas hiperplasias linfóides son reactivas y benignas. La biopsia y estudios complementarios ayudan a aclararlo.
- ¿Es tratable? Sí, si se identifica la causa (por ejemplo, una infección) y se actúa sobre ella. En otros casos se vigila o se interviene según los síntomas.
- ¿Debo preocuparme si mi hijo lo tiene? En pediatría es relativamente frecuente y muchas veces asociada a infecciones o maduración inmune; la mayoría son manejables con seguimiento adecuado.
- ¿Puedo prevenirlo? No siempre, pero evitar exposiciones nocivas (tabaco, ciertos tóxicos), tratar infecciones y controlar enfermedades crónicas reduce riesgos.
- ¿Qué pruebas pedirá el médico? Imagen (ecografía, TC, RM), endoscopia según localización y, habitualmente, biopsia para estudio histológico e inmunohistoquímico.
Casos ilustrativos
Para aterrizar conceptos, imagina tres situaciones: un adulto con dolor epigástrico sometido a endoscopia que muestra folículos linfoides en la mucosa gástrica; un niño con episodios recurrentes de dolor abdominal y ecografía que revela engrosamiento mural con nodalidad; y una persona con tos crónica en la que la broncoscopia identifica nódulos submucosos. En cada caso la clave es investigar la causa (H. pylori en el primer caso, infecciones recurrentes o alergias en el segundo, exposición ambiental o infecciones en el tercero) y elegir el tratamiento pertinente, que puede variar desde antibióticos hasta resección o vigilancia estrecha.
Estos ejemplos muestran que, pese a la misma descripción histológica básica, el contexto clínico determina el camino diagnóstico-terapéutico. Esa es una de las lecciones más útiles: no juzgar una lesión solo por su apariencia microscópica, sino integrarla en la historia global del paciente.
Recapitulación rápida
L’hyperplasie lymphoïde de la paroi o hiperplasia linfóide de la pared es una acumulación de tejido linfático en la pared de un órgano que puede ser reactiva o, menos frecuentemente, neoplásica. Su significado clínico depende de la ubicación, la causa subyacente y la presencia de síntomas. El diagnóstico combina imagen, endoscopia y biopsia, y el manejo abarca desde la observación hasta el tratamiento específico según el hallazgo.
Si no has encontrado en este texto una respuesta concreta a una situación personal, lo más sensato es hablar con el médico que conoce tu caso. La medicina es un diálogo: la información técnica es útil, pero la decisión siempre debe adaptarse a la persona concreta que tiene frente a sí el profesional de salud.
Conclusión

L’hyperplasie lymphoïde de la paroi puede parecer un término intimidante, pero en esencia describe una reacción del sistema inmunitario que, según el contexto, puede ser benigna y reversible o requerir investigaciones y tratamientos más profundos; comprender su naturaleza, las pruebas necesarias para diferenciarla de procesos neoplásicos, las opciones de manejo y la importancia de la comunicación entre médico y paciente ofrece una hoja de ruta clara para abordar el diagnóstico y el seguimiento con calma y criterio, recordando que la individualización de cada caso y la colaboración multidisciplinaria son las mejores herramientas para obtener un resultado favorable.